Skip to main content
Testicular Cancer Clinical Care

Clinical Care

Indiana University School of Medicine Department of Urology faculty experts provide clinical care for patients with testicular cancer from all over the world through the university’s partnership with Indiana University Health. Their research has led to groundbreaking new ways to diagnose and treat testicular cancer.

Symptoms

Symptoms of testicular cancer include a painless, firm, enlarged mass in the testicle. Patients may also have a feeling of heaviness in the scrotum, a dull ache in the groin, and testicular and back pain.

Evaluation

A testicular mass warrants a prompt and thorough investigation. The three main components of proper initial evaluation include a careful physical examination with focus on the scrotum, testicular ultrasound and blood tests to evaluate tumor markers specific for testicular cancer (i.e. beta human chorionic gonadotropin and alpha-fetoprotein).

Ultrasound examination can provide important details of tumor characteristics and document the shape and location of the lesion. This test uses soundwaves to create an image of the scrotum and testicles. During this exam, patients lie down on their backs and a clear gel is applied to the scrotum. A hand-held ultrasound probe is moved over the scrotum to create the images.

Obtaining serum tumor marker values, including α-fetoprotein, human chorionic gonadotropin and lactate dehydrogenase aids in solidifying a diagnosis of a germ cell tumor and serves as a baseline to compare serologic trends after orchiectomy. While there can be rare elevations of these blood tests, most often they are elevated in association with testicular cancer.

Diagnosis

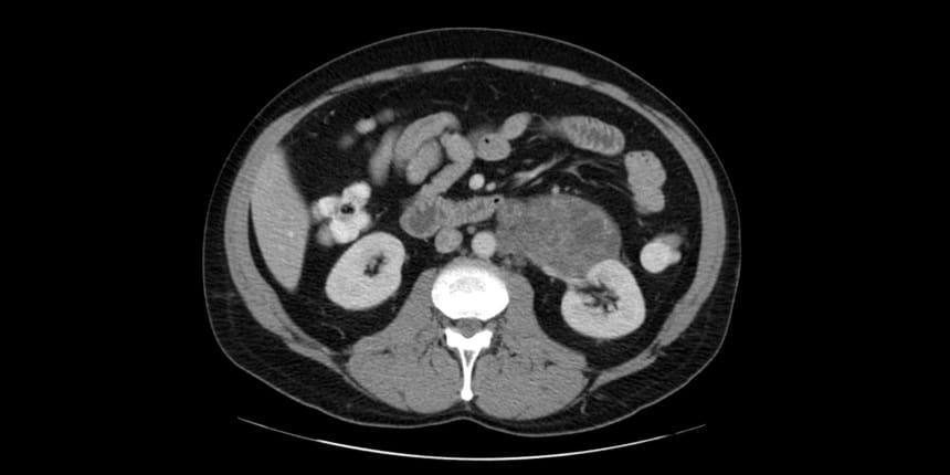
If the physical exam, testicular ultrasound, and tumor marker assessment is concerning for testicular malignancy, a radical orchiectomy is the diagnostic and therapeutic treatment of choice. This is when the surgeon will make an incision in the inguinal region on the affected side and remove the testicle. The testicle will be sent for pathological evaluation to determine the type of testicular cancer (e.g. seminoma, nonseminoma). Once the diagnosis of testicular cancer has been confirmed, then additional staging information will be required to properly assess the stage and disease risk. This is completed through computed tomography imaging of the chest, abdomen and pelvis.

Staging

After the testicle has been removed, the tumor markers (α-fetoprotein, human chorionic gonadotropin) are re-evaluated. These values help determine if the tumor markers are declining the appropriate amount following surgery or if they are further rising after orchiectomy. This information is helpful to understand the stage of the disease.

Proper staging and understanding the type of cancer will determine the next appropriate treatment options.

This test uses a rotating X-ray beam to create a series of pictures of the body from many angles. A computer processes the information provided by the scan and produces a detailed cross-sectional image of the selected part of the body. To highlight details on a CT scan, a dye may be injected into a vein. The CT scan is especially valuable in identifying the spread of tumors to the lymph nodes and other parts of the body.

Clinical Stage

Cancer confined to the testicle with no evidence of spread to other body parts.

Cancer has metastasized to the retroperitoneal lymph nodes.

Cancer has metastasized above the diaphragm to the lungs, mediastinal lymph nodes, cervical, or supraclavicular lymph nodes with or without retroperitoneal lymph node involvement.

Treatment

Testicular Cancer Orchiectomy

Orchiectomy

After testicular cancer is diagnosed, a radical orchiectomy is the next step in the therapeutic plan.

Testicular Cancer Chemotherapy

Chemotherapy

The most common chemotherapy regimen used to treat metastatic testicular cancer is a three-drug regimen using bleomycin, etoposide and cisplatin (BEP).

Testicular Cancer RPLND

Retroperitoneal Lymph Node Dissection

Patients with clinical stage I or low volume stage II disease have the option of electing to undergo this procedure as both a diagnostic and therapeutic treatment option.

Looking for Patient Care?

To schedule an appointment with an IU School of Medicine urologist or learn more about treatments for testicular cancer, visit the IU Health testicular cancer website.