Showing results for
Showing results for
-
IU-based startup commercializes software to improve quality of care for pediatric patients
Dr. Stephen Downs and Tammy Dugan founded Digital Health Solutions LLC to commercialize software called CHICA, or Child Health Improvement through Computer Automation.
Jan 27, 2017 -
Expanding throughout Indiana, OPTIMISTIC study tests new CMS payment model
Over the next four years, the nursing homes that participated in the OPTIMISTIC study are implementing new Centers for Medicare and Medicaid Services payment ...
Jan 26, 2017 -
African-American veterans in mental health care are not as activated as White veterans
A new study provides evidence that male and female African-American veterans receiving outpatient mental health services are not as activated – meaning they don’t have ...
Jan 24, 2017 -
IU researchers develop new therapy to help brain injury patients with emotion processing
INDIANAPOLIS — Researchers at Indiana University School of Medicine are developing a potential treatment for people who have problems processing their emotions after a traumatic ...
Jan 19, 2017 -
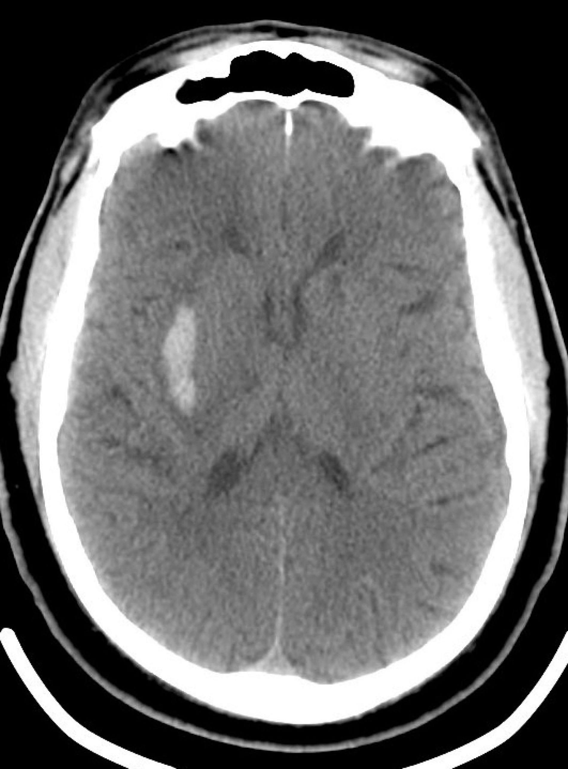
Drug testing standards for hemorrhagic stroke inadequately met, unevenly applied
Cocaine and amphetamine use are linked to a higher risk of intracerebral hemorrhage, but guidelines recommending drug screening for those stroke patients often aren’t followed. ...
Jan 17, 2017 -
Pocket guide published to help rapidly meet mental health needs of older adults
A new pocket guide to elder mental health has been written with the purpose of rapidly teaching all health care professionals the basics of ...
Jan 16, 2017 -
IU Simon Cancer Center, nation’s cancer centers jointly endorse updated HPV vaccine recommendations
Recognizing a critical need to improve national vaccination rates for the human papillomavirus (HPV), Indiana University Melvin and Bren Simon Cancer Center has again united ...
Jan 11, 2017 -
Older adults with obesity less responsive to memory training than those with lower BMIs
Indiana University aging researchers find that memory training is less helpful to older adults who are obese.
Jan 10, 2017 -
Study shows risk of skin cancer doesn't deter most college students who tan indoors
Results showing a higher proportion of those who tan indoors or have in the past feeling more relaxed and pleasant during tanning may be due ...
Jan 04, 2017