Radhakrishnan Lab

The research lab of Rupa Radhakrishnan MBBS MS is involved in imaging research in maternal and pediatric populations. The primary research focus of the Radhakrishnan Lab is to understand causes and consequences of developmental injury to the fetus and neonatal brain assessed using advanced placental, fetal and neonatal magnetic resonance imaging, particularly in the setting of prenatal substance exposure. The Radhakrishnan Lab also collaborates with multiple clinical teams on imaging related research.

Discover

Stay in the loop on current and past publications by the Radhakrishnan Lab.
imaging of brains

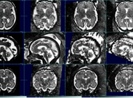
Fetal brain MRI

Imaging the fetal brain is challenging as the fetus moves unpredictably during image acquisition resulting in motion degraded images. The lab has created a workflow to create high resolution images from these motion degraded lower resolution images. Additionally, the lab uses these high resolution fetal brain MR images to quantify regional brain volumes, as well as performs placental imaging and quantitative segmentation. 

imaging of brains

Neonatal brain MRI processing

The lab has expertise in obtaining high quality brain MRI in neonates and young infants without the use of anesthesia using the feed and swaddle technique. Multimodal neonatal and infant brain MR imaging – anatomic, diffusion and BOLD (blood oxygen level dependent) resting state functional MRI are analyzed to understand developmental and functional alterations in the neonatal and infant brain in various conditions. More recently, the lab has investigated infant brain alterations in the setting of prenatal substance exposure.

imaging samples

Collaborative clinical imaging research 

The lab collaborates with multiple clinical teams to provide quantitative image analysis services for clinical research. The image on the left shows diffusion tractography in a patient prior to and after laser corpus callosotomy.

Active Grant Funding

1R03DA056797-01A1 PI: Radhakrishnan 2023-2024
Goal: In this study we evaluate pregnant maternal brain alterations and their associations with outcomes in prenatal opioid exposure.
Role: PI

R01MH126970-01A1 PI: Zhao Y 2022-2027
Role: Co-I

#2021258 MPI: Edmonds BT, Allen M 2021-2023
Goal: This fund is used to pilot a project to assess adolescent brain development in prenatal substance exposure using the large ABCD dataset.
Role: Co-I (subaward PI)

R01HL152740 PI: Panigrahy A 2021-2024
Goal: In this multicenter study, neuroimaging and cognitive metrics are used to assess brain structural and functional and cognitive outcomes in adult subjects with congenital heart disease.
Role: Site PI

(CTR)  PI: Ferradal S 2021-2023
Goal: In this study we will use quantitative diffuse optical spectroscopy to identify differences in brain perfusion in prenatal opioid exposed infants, and whether these perfusion differences would predict severity of withdrawal symptoms
Role: Co-I

R01HD096800 PI: Sadhasivam S 2018-2023
Goals: In this study we will identify pharmacogenetic biomarkers in maternal and cord blood that will correlate with maternal and infant outcomes in maternal opioid use disorder. We will identify how fetal brain structure and infant brain functional and structural network connectivity are related to underlying opioid receptor genetics and their utility in prediction of outcomes.
Role: Site PI

Awarded, but declined

Showalter Trust PI: Radhakrishnan, R 2018-2019
Awarded but declined by PI. 
Role- PI.

Completed Grants

ASPNR Research award PI: Radhakrishnan, R 2019 - 2021
Goals: In this study, we will use advanced MR imaging methods to understand how maternal preeclampsia affects the developing premature infant brain and whether preeclampsia compounds brain injury which can be caused by prematurity.
Role: PI 

RSNA seed grant PI: Radhakrishnan, R 2018 - 2022
Goals: In this study, we will use advanced MR imaging methods to understand how antenatal exposue to opioids affects the structure and function of the developing brain and how these changes relate to the severity of withdrawal symptoms or neonatal abstinence syndrome.
Role: PI 

ARRS Scholar Career development grant PI: Radhakrishnan, R 2018-2021
Goals: In this study we plan to identify neuroimaging changes in infants exposed to opioids and their correlation with neurodevelopmental outcomes at 6 months.
Role: PI

Indiana University Collaborative Research Grant PI: Forbes-Armhein, Blazer-Yost, Raskin, Radhakrishnan
Goals: This study will focus on examining changes in brain parenchyma with increases in intraventricular volume and pressure in rat model hydrocephalus.
Role: Co-PI

Radiology Project Development award PI: Radhakrishnan, R 2017-2018
Goals: Accurate measure of ventricular size is important for ensuring consistency of care in infants with hydrocephalus. In this study we plan to validate ventricular measurements across different modalities with ventricular volumes in a large sample of infants, to develop standardized measurement techniques.
Role: PI